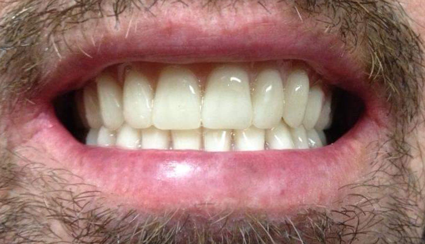
Actual Results
Read about some of the happy smiles we have made!
Click the button below!
Get in touch
509-947-1759
nusmiledenture@gmail.com
CALL (509) 987-1759 FOR A FREE CONSULTATION
Read about some of the happy smiles we have made!
Click the button below!